O termo “espondilolistese” vem do grego “espôndilo” que significa vértebra adjacente e “olistesis” que significa escorregamento, ou seja, escorregamento de vértebra adjacente. Já o termo “espondilolise” refere-se apenas há um defeito na vértebra sem escorregamento. Este defeito pode ocorrer em diversas partes da vértebra, principalmente nos elementos posteriores. Pode ser uma lesão óssea propriamente dita como uma fratura da pars articulares ou dos pedículos ou pode ser uma alteração da conformação da vértebra como por exemplo uma deformidades das facetas articulares que permite o escorregamento de uma vértebra sobre a outra.

Epidemiologia
A prevalência do defeito na pars interaticulares ocorre em 5% da população geral1, história familiar, gênero e raça tem suas implicações. Espondilolistese ocorre em 15 a 70% entre parentes de primeiro grau de um individuo com espondilolistese2, 3. A lise da pars articulares é três vezes mais freqüente em meninos que em meninas, porém o escorregamento é três vezes mais freqüente em meninas que em meninos4. A prevalência de espondilolistese na população branca é de 6% sendo este valor duas a três vezes maior que o da população negra5. No caso da espondilolistese degenerativa esta ocorre seis vezes mais nas mulheres que nos homens, é seis a nove vezes mais comum entre L4 e L5 e tem incidência quatro vezes maior com L5 esta sacralizado6. Já no caso do tipo ístmico, esta corre duas a três vezes mais em homens e as vértebras mais acometidas são L5-S1, sendo que 50% apresenta apenas espondilólise sem escorregamento

Ilustração da pars em amarelo e ilustração de espondilolise (A)
Etiopatogenia
A causa da espondilolistese depende de qual tipo estamos analisando.
Um dos mecanismos causadores da espondilolistese é o chamado traumático, comum nas espondilolisteses do tipo istimico. Quando a coluna lombar estende, o processo articular da vértebra cranial impacta na pars articulares da vértebra caudal, impactos repetitivos podem causar fratura por stress na vértebra caudal. Atividades como ginástica, vôlei, ou doenças como Cifose de Scheurmann que levam a uma hiperextensão da coluna lombar tem uma prevalência aumentada de espondilolistese8. Outra justificativa para esta lesão seria que a pars suporta menos tensão do que compressão9. Estudos mais recentes apontam para uma terceira causa que seria uma alteração na placa de crescimento da vértebra S1, que permitiria o escorregamento em primeiro lugar10.
Outro mecanismo no caso da espondilolistese displásica, seria a própria malformação congênita que ocorre principalmente nos elementos posteriores das vértebras1.
No caso da espondilolistese do tipo degenerativo a causa depende de fatores como degeneração discal, frouxidão ligamentar, artrose facetaria, orientação facetaria, grau de lordose lombar, fatores hormonais.
Quanto a historia natural, nos casos de espondilolistese degenerativa o melhor trabalho estudo realizado foi de Matsunaga12 que seguiu 40 pacientes com espondilolistese degenerativa por 8 anos na média. Ele notou que apenas 10 % dos paciente tiveram deterioração clinica, 30% tiveram progressão do escorregamento, porém deste nenhum teve deterioração clinica. Esta falta de correlação entre progressão do escorregamento e deterioração clínica também foi notada por outros autores
Classificação
Existem cinco tipos de espondilolisteses: displásico, ístimico, degenerativo, traumático e patológico
O tipo displásico ocorre por uma alteração congênita nas facetas articulares permitindo o escorregamento entre elas. Neste caso o arco posterior da vértebra esta integro, assim conforme este escorregamento ocorre, este arco comprime os elementos posteriores da cauda eqüina podendo gerar sintomas neurológicos precoces. Este é o único tipo de espondilolistese que pode acorrer no nascimento.
Nos outros tipos de espondilolistese sempre há uma lesão em algum ponto entre o corpo e o arco posterior fazendo com que este permaneça em sua posição, assim sendo inicialmente há uma abertura do canal da cauda eqüina1.
O tipo istimico envolve uma lesão em uma região denominada pars articulares. A pars articulares corresponde a região óssea mais afilada entre a faceta inferiror e superior de cada lado. Existem três subclasses desta lesão: A- fratura por estresse da pars articulares, B- alongamento da pars articulares, C- fratura aguda da pars articulares1. Os tipos displásico e ístimico são os mais comumente encontrados em crianças sendo responsáveis por 85% dos casos nesta faixa etária
A espondilolistese degenerativa ocorre em decorrência do processo de osteoartrose causado pela degeneração discal levando há incompetência facetária1.
A espondilolistese traumática é causada por fratura dos elementos posteriores, podendo ser em qualquer parte exceto na pars articular, como por exemplo nos pedículos.
Finalmente a espondilolistese patológica é causada por uma lesão tumoral primaria ou metastática que leva a instabilidade e ao escorregamento de uma vértebra em relação a outra.
Os tipos displásico e ístimico podem ser classificados como congênitos, enquanto os tipos degenerativo, traumático e patológico podem ser classificados como degenerativos.
A severidade da espondilolistese pode ser medida de acordo com seu escorregamento de acordo com a classificação radiográfica de Meyerding18: 1- translação até 25%, 2- translação de 26-50%, 3- translação de 51-75%, 4- translação 76-100% e 5- translação acima de 100% também denominado espondiloptose. A grande maioria dos casos (75%) são do tipo 1 enquanto 20% dos casos são do tipo 2. Uma segunda classificação divide as espondilolistese em dois grupos o primeiro denominado de baixo grau ou estável corresponde aquelas com escorregamento menor que 50% o segundo denominado alto grau ou instável corresponde aquelas com escorregamento maior que 50%.
Diagnóstico
A) história clínica e exame físico
A maioria das crianças com dor lombar (75%) a causa é idiopática ou também chamada de “sobreuso”19. Das causas identificáveis a principal causa é espondilolistese ístimica. A criança normalmente descreve dor relacionada ao exercícios sendo que 40% relatam um evento traumático especifico20. Espondilolistese de alto grau (maior que 50% de escorregamento) em crianças é caracterizada por um degrau a palpação lombosacra, e um sacro retrovertido. No exame é notada ainda a retração da musculatura isquiotibial, e alteração da marcha (sinal de Phalen-Dickson), que corresponde a marcha com flexão dos quadris e joelhos.
A escoliose pode estar associada em 13-60% com a espondilolistese22, quando esta (escoliose) é causada pela dor , em geral após o procedimento cirúrgico na região da listese ela se resolverá. No caso das espondilolisteses displásicas estas freqüentemente levam há um quadro neurológico mais precoce com níveis menores de escorregamento devido a compressão da cauda eqüina pelo arco posterior, sendo necessário uma abordagem cirúrgica precoce.
Quando um adulto com espondilolistese ístimica de baixo grau requer atendimento médico, frequentemente sua queixa está relacionada à dor em membro inferior. A dor em geral é causada pelo chamado “gancho” ósseo que faz parte do seguimento da vértebra superior que escorregou, comprimindo assim a raiz na região do foramem23 (figura 5). Já nos casos de espondilolistese degenerativa a dor lombar é a principal queixa.
B) Exames de Imagem
Devem ser realizadas Radiografias colimadas em AP e perfil da região lombosacra. No Rx em perfil é possível avaliar o grau de escorregamento de acordo com a classificação de Meyerding18. Pode-se ainda avaliar o chamando ângulo de escorregamento

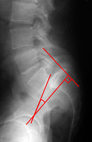
Ângulo de escorregamento
Desenha-se uma linha perpendicular ao aspecto posterior do sacro e outra ao longo da borda inferior da vértebra de L5. Um valor positivo alto para o ângulo de escorregamento (em geral maior que 45 graus) indica que a vértebra L5 esta muito inclinada aumentando suas chances de escorregar9. Outro ângulo que pode ser analisado é o chamado ângulo de inclinação sacral (figura 7), que corresponde ao ângulo entre uma linha traçada na parte posterior do sacro e uma linha vertical. Para este ângulo valores maiores que 55 graus tem maior risco para progressão9.
A cronicidade do escorregamento pode ser refletida em algumas alterações vivíveis no Rx como uma vértebra L5 trapezoidal e um domo sacral arredondado .
O Rx em AP pouco ajuda, porém no caso de uma espondiloptose, é possível notar o clássico sinal da vértebra em “chapéu de Napoleão” .
Para avaliar defeitos da pars são utilizadas radiografias oblíquas, nas quais pode notar o sinal do “Scotty dog” que corresponde à lesão da pars articulares
Pode-se ainda no caso de necessidade de tratamento cirúrgico solicitar radiografias panorâmicas de coluna vertebral, principalmente em perfil para análise do balanço sagital e radiografias dinâmicas em flexo-extensão para obter informações quanto a instabilidade local. No caso das radiografias panorâmicas uma linha vertical deve ser traçada no corpo da vértebra C7 até o solo, se distância medida entre esta linha e o canto postero-superior do corpo da vértebra de S1 for menor ou igual a 2,5 cm para frente ou para trás então é dito que o balanço é neutro, caso esta medida seja maior que 2,5 cm para frente então é dito que o balanço é positivo e se for para trás é dito que o balanço é negativo25. No caso das radiografias dinâmicas em flexo-extensão um valor angular comparativo entre duas medidas maior que 11 graus e um valor de translação maior que 4,5mm é indicativo de instabilidade local.
O papel da tomografia computadoriazada é bastante importante no caso de duvida, principalmente nos casos de espondilolise. Ela pode diferenciar a dor lombar baixa de uma espondilolise de um osteoma osteóide que é um importante diagnostico diferencial, e pode analisar um quadro de recidiva de uma espondilolise após sua cicatrização o que seria de difícil visualização no Rx27 .
Além disso em conjunto com a cintolografia (SPECT) pode no detectar casos de pré-lise ( tomografia normal e SPECT positivo) ou casos de não união (tomografia com alteração e SPECT positivo).
A RNM é o exame único mais completo, nela pode avaliar se a lesão é aguda ou crônica, observar o estado dos discos vertebrais adjacentes, observar compressão da cauda eqüina em casos severos, e observar compressão de raiz na saída do foramem.
Tratamento
O tratamento da espondilolistese depende de diversos fatores, como foi avaliado anteriormente: tipo da espondilolistese, grau de escorregamento, idade do paciente, parâmetros de imagem que indiquem um risco maior ou menor de progressão, ou que indiquem se o quadro é agudo ou crônico1.
No caso da espondilólise ou espondilolistese de baixo grau na criança, é iniciado tratamento conservador com a retirada das atividades esportivas, drogas antiinflamatórias combinadas com um programa de exercícios focado na diminuição da lordose lombar e diminuição da contratura da musculatura posterior da coxa. Após a melhora dos sintomas o paciente deve ter seguimento anual até a maturidade, pois pode haver o risco de progressão com a adolescência30. A chave do tratamento é a diminuição da lordose. Colete com leve cifose (15 graus de flexão) pode ser moldado e usado em crianças muito sintomáticas ou naquelas que tem SPECT positivo indicando assim um quadro agudo com potencial para cicatrização31. Caso não haja melhora em 3 meses ou houver progressão do escorregamento fica indicado tratamento cirúrgico.
Mais de 80 % das crianças tratadas de maneira conservadora tem resolução dos sintomas. A taxa estimada para consolidação dos defeitos varia na literatura. Pode se dizer que aproximadamente 75% das lesões agudas cicatrizam, sendo que 100% das lesões unilaterais e 50 % das lesões bilaterais cicatrizam32. As lesões crônicas não iram cicatrizar, porém a união fibrosa parece deixar estes paciente assintomáticos1.
No caso da espondilolistese do adulto, independente do grau, o tratamento inicial deve ser fisioterápico, com base na diminuição da contratura da musculatura posterior da coxa, diminuição da lordose lombar e exercícios de fortalecimento do tronco.
Quanto ao tratamento cirúrgico existem opções de síntese e de fusão (artrodese) com ou sem descompressão associada.
No caso das espondilolises que não melhoraram com tratamento conservador pode-se indicar a síntese da fratura da pars6, 33, desde que no exame de RNM, o disco entre a lesão esteja preservado1. Para tentar ser mais específico quanto a melhora da dor do paciente com uma síntese pode-se realizar o teste de infiltração de lidocaína no defeito com foi descrito por Suh34. Neste teste há a melhora da dor referida pelo paciente com a injeção de lidocaína no defeito. Existem vários tipos de síntese como: amarrilho em oito no transverso, parafusos diretamente pelo defeito, parafusos e ganchos sublaminares

Ilustração de fixação com parafusos e ganchos / B- ilustração de fixação com amarrilho / C- ilustração de fixação com parafusos pelo defeito
Em nosso serviço utilizamos a técnica de parafusos pediculares e ganchos sublaminares na mesma vértebra, unidos por uma barra.
Caso haja dúvida quanto a qualidade do disco ou suspeita-se de instabilidade entre os níveis fica indicada a artrodese. Em geral não é necessária a instrumentação, principalmente em pacientes mais jovens35.
A descompressão em geral esta indicada quando o paciente começa ter alterações neurológicas, estas podem ser devido a compressão da raiz pelo “gancho” como foi dito anteriormente ou devido a compressão das raízes da cauda eqüina pelos elementos posteriores o que acontece precocemente no caso das espondilolisteses displasicas e somente em casos avançados no caso das outras espondilolisteses36.
A descompressão deve ser ampla e bilateral com remoção de toda lâmina (procedimento de Gill), deve-se ainda ter uma atenção especial a descompressão foraminal para liberação da raiz comprimida pelo gancho, sendo necessário às vezes a realização de uma facetectomia36. Em geral quando é realizada uma descompressão devido a sua característica instabilizante é necessária a fusão.
No caso das espondilolisteses o instrumental aumenta a taxa de fusão melhorando os resultados clínicos38. Quanto a fusão intervertebral, existem várias vantagens teóricas em realizar este procedimento: aumento da área de contato para artrodese, colocação de enxerto ósseo sob compressão, obtenção de uma redução indireta com abertura do foramem por restaurar a altura do disco, correção da lordose lombar e finalmente ablação do disco que seria um possível sitio de geração de dor. A inserção do cage com enxerto atualmente vem sendo cada vez mais utilizada pela via foraminal o chamado TLIF (transforaminal lumbar interbody fusion). Porém apesar destas vantagens teóricas ainda são necessário mais trabalhos clínicos de boa qualidade que comprovem sua eficácia em longo prazo.
No caso das espondilolisteses de alto grau, ou seja aquelas com mais de 50% de escorregamento o tratamento inicial é conservador porém a indicação cirúrgica é precoce principalmente na criança. No adulto, a não melhora da dor ou a progressão do escorregamento, é indicação de cirurgia. No caso de cirurgia ainda existem várias dúvidas de qual seria o melhor tipo de tratamento. Pode-se ser realizado artrodese in situ, o que em nosso serviço, é a conduta padrão, pois tem menor risco de lesão neurológica e menor morbidade, porém não há correção da deformidade e o aspecto clínico estético permanece o mesmo apesar da melhora da dor.
Outra opção seria realizar a redução da deformidade. Este procedimento tem grande morbidade e leva risco de lesão neurológica da raiz de L5 principalmente, porém há uma correção considerável da estética do paciente. Aparentemente ambos têm resultados clínicos semelhantes quanto há melhora do quadro de dor e taxas de fusão. Neste grau de espondilolistese sendo a fusão in situ ou realizando a redução em geral deve-se estender a área de artrodese até L4, pois há uma melhora do ângulo de escorregamento, aumentando as taxas de consolidação e facilitando o procedimento, bem como diminuindo o risco de escorregamento do nível L4L51.
No caso do tratamento da espondilolistese degenerativa, devemos lembrar que esta ao contrário da ístimica ocorre em 85 % dos casos entre as vértebras L4 e L5 seguido das vértebras L3 e L4. São mais comum em mulheres e após a sexta década de vida1.
Em geral os pacientes apresentam lombalgia associada a sintomas de claudicação neurogênica devido a degeneração discal, hipertrofia facetária e hipertrofia do ligamento amarelo.
Inicialmente indicamos tratamento conservador da mesma forma que nos outros tipos de espondilolisteses, caso haja falha do tratamento seja pela dor lombar ou por sintomas neurologicos decorrentes da estenose do canal o tratamento cirúrgico fica indicado42.
Neste casos em nosso serviço é feita a descompressão ampla com artrodese postero-lateral instrumentada.

