Infecções pós operatórias são eventos indesejáveis em qualquer tipo de cirurgia, mas principalmente nas cirurgias de coluna. A utilização de técnica asséptica adequada, uso de antibióticos profiláticos e as modernas salas cirúrgicas são, ainda, insuficientes para erradicar as infecções pós operatórias.
A incidência de infecção pós operatória é bastante variável na literatura, podendo em alguns estudos chegar até a 20%. Procedimentos como discectomias e laminectomias descompressivas tem uma incidência de 3%, enquanto procedimentos em que ocorra instrumentação possuem taxas de infecção ao redor de 12%.
A utilização de instrumental nas cirurgias de artrodese de coluna tem sido cada vez mais empregada. Como resultado, temos procedimentos mais longos, com maior perda sanguínea e área de dissecção aumentada. Além disso, temos a formação de um espaço morto ao redor do instrumental implantado. Os implantes apesar de não serem responsáveis diretamente pela inoculação de patógenos, agem como locus minoris resistentiae. Esse conjunto de fatores dificulta a erradicação pelo organismo de um patógeno infectante.
A manutenção de um campo asséptico, com atenção a hemostasia, minimização de tecidos desvitalizados e o uso adequado de drenos consistem em medidas importantes para diminuir as taxas de infecções pós operatórias.
Fatores de Risco
Os fatores de risco podem ser divididos em 3 tipos basicamente. Relacionados ao paciente, ao procedimento cirúrgico e aos cuidados pós operatórios.
Pacientes imuno-comprometidos possuem uma chance de evoluir com infecção superior aos pacientes saudáveis. Doenças como o diabetes, artrite reumatóide, câncer e os usuários crônicos de corticosteróides se encontram nesse grupo. Além disso o tabagismo e a obesidade também aumentam a chance de uma infecção pós operatória. Outro fator que deve ser considerado, principalmente em paises em desenvolvimento, é o estatus nutricional. A desnutrição, tanto clinica quanto laboratorial, influencia no potencial de cicatrização e no funcionamento do sistema imunológico.
Alguns marcadores são usados para determinar o estado nutricional do paciente. Albumina sérica inferior a 3,5 g/dL, perda recente de mais de 4 Kg, medida da circunferência do braço inferior a 80% do esperado e contagem total de linfócitos inferior a 1500/mm³ são os principais dados relevantes na determinação do estatus nutricional do paciente.
Na outra extremidade o paciente obeso também corre maior risco. A menor vascularização do tecido adiposos e a maior dificuldade técnica durante o procedimento, acarretando em via de acesso maior e tempo cirúrgico, prolongado aumentam a chance desse paciente desenvolver uma infecção pós operatória.
A diabetes, doença muito prevalente, aumenta em 17% a chance de uma complicação pós operatória sendo que dois terços dessas complicações serão infecciosas.
Para os pacientes oncológicos, que necessitam de radioterapia, recomenda-se aguardar de 2 a 3 semanas após a cirurgia para dar inicio as sessões de radioterapia. Isso proporciona um certo tempo para cicatrização local e diminui as chances de deiscência e infecção. Nos casos em que o paciente já tenha recebido radioterapia, deve-se aguardar 6 a 12 semanas pra realização de um procedimento cirúrgico eletivo.
Os pacientes vitimas de trauma podem ter vários fatores de risco associados. Extensas lesões abertas, fraturas expostas, traumatismos múltiplos e o uso de sondas e cateters diminuem a capacidade imunológica e aumentam a chance de uma complicação infecciosa.
Os fatores de risco relacionados ao procedimento e aos cuidados pós operatórios são de grande importância no combate às infecções. Uma vez que a maioria dos fatores intrínsecos ao paciente não podem ser alterados como a diabetes, a medicina vem buscando incansavelmente melhorar as condições cirúrgicas e os cuidados pós operatórios para diminuir as taxas de infecção.
Prevenção
O uso de antibióticos na profilaxia de infecções é pratica rotineira na vasta maioria dos procedimentos cirúrgicos. Para que o antibiótico seja efetivo algumas características são importantes. Deve-se usar um agente bactericida contra a maioria das bactérias comumente causadoras de infecção. O antibiótico deve estar presente nos tecidos no momento da incisão e portanto deve ser infundido 30 minutos antes do inicio. A eficácia dos antibióticos esta relacionada aos níveis séricos adequados, portanto, nos procedimentos longos ou quando houver grandes perdas sanguineas e reposição volêmica, a administração do antibiótico deve ser repetida considerando também seu tempo de ação. Além disso, o antibiótico deve ser prescrito por um período de 24hs e não mais do que isso. O uso de antibióticos além das 24hs não traz nenhum benefício e ainda aumenta a incidência de infecções por patogenos multiresistentes.
As cefalosporinas de primeira geração são os antibióticos mais comumente usados. São efetivos contra as principais bactérias causadoras de infecção como o S. aureus e S epidermidis. Além disso, também possuem ação contra alguns gram negativos como o E. coli e Proteus, que são patógenos infectantes ocasionais. A cefalosporina de primeira geração tem uma meia vida longa e penetração adequada no osso. Estudos mostraram a presença da medicação no anulo fibroso, porção externa do disco intervertebral, mas não mostraram no núcleo pulposo, porção central, o que consiste em um ponto negativo. Foi demonstrado, em contra partida, a presença de gentamicina no núcleo pulposo, o que representaria uma vantagem para evitar discites pós operatórias. Mas, devido a toxicidade deste antibiótico, o seu uso em caráter profilático não é recomendado.
Estudos mostraram que perdas volêmicas superiores a 1500ml e procedimentos com mais de 4 horas de duração devem receber mais uma dose de cefalosporina profilática durante o procedimanto.
O uso de antibióticos locais, como em associados com cimentos, vem ganhando popularidade na ortopedia. No entanto, ainda faltam estudos para determinar sua eficácia nas cirurgias da coluna.
A formação de hematomas é algo esperado em cirurgias da coluna e estes podem constituir um ambiente propício para a instalação de uma bactéria e conseqüente proliferação da mesma. O uso de drenos tem o intuito de diminuir a formação de hematomas e portanto diminuir o risco de infecção. No entanto, um estudo comparando a utilização de drenos em cirurgias de laminectomias não instrumentadas não mostrou diferença significativa entre a utilização ou não dos drenos.
O uso de irrigação com soluções contendo agentes bactericidas não demonstrou clinicamente uma diminuição nas taxas de infecção, além de diversas complicações terem sido relatadas como anafilaxia. Dessa forma, esse procedimento não é recomendado.
Vale ainda ressaltar a importância de manter um campo cirúrgico estéril com utilização de técnica cirúrgica adequada e extrema atenção durante o procedimento.

Recomendações para minimizar as infecções pós operatórias da coluna.
Quadro Clinico
A divisão entre infecção superficial e profunda muitas vezes é utilizada e a fascia consiste no limite entre as duas. No entanto essa distinção nem sempre é muito precisa e o processo infeccioso pode ocorrer simultaneamente nos dois locais. Alguns serviços diferenciam as infecções em superficiais e profundas utilizando como critério a necessidade de limpeza cirúrgica. Os pacientes que necessitam apenas de antibiótico para a resolução dos seus quadros correspondem as infecções superficiais, enquanto aqueles que necessitarem de limpezas cirúrgicas correspondem as infecções profundas.
As infecções agudas ocorrem ao redor da segunda semana após a cirurgia. As alterações clinicas sugestivas de infecção incluem eritema, edema, flutuação e aumento de dor local. Saída de secreção purulenta é outro sinal característico. A febre nem sempre esta presente e quando ocorre geralmente é baixa. No entanto o paciente pode ter picos de febre alta e bacteremia. Isso é variável conforme o estatus imunológico do paciente e a extensão da infecção.
Exames laboratoriais auxiliam no diagnóstico e no seguimento desses pacientes. Leucocitose geralmente é branda e a velocidade de hemo-sedimentação(VHS) esta elevada. Proteína C reativa(PCR) também esta elevada. Esses exames podem ser interpretados como normais, pois estamos diante de pacientes que sofreram uma agressão cirúrgica e é esperado que tenham aumento sérico desses marcadores. Uma curva de PCR tem valor diagnóstico superior a uma medida isolada. Valores crescentes são fortemente sugestivos de processos infecciosos.
A cultura de aspirados de feridas é de pouco valor diagnóstico. Os resultados podem demorar e contaminação com o meio externo dificulta a determinação do verdadeiro patógeno que esta causando a infecção.
Estudos laboratoriais e de imagem
Estudos mostraram que os valores de VHS atingem um pico ao redor do 4 dia pós operatório 12 e com valores médios ao redor de 102mm/hr para artrodese e de 75mm/hr para discectomias. A normalização dos valores de VHS ocorre por volta do vigésimo dia pós operatório. Em contra partida, os valores de PCR diminuem precocemente. Valores de PCR atingem um pico ao redor do terceiro dia e normalizam entre o décimo e o décimo quarto dia. Com isso, altos valores de PCR ao redor do 10 dia são sinais sugestivos de infecção e por isso constitui um exame de maior utilidade. Além disso, curvas de PCR que demonstrem aumento seriado são fortemente sugestivos de processos infecciosos.
A radiografia tem sua utilidade principalmente nos casos crônicos. Alterações nos ossos, no espaço discal e ao redor dos parafusos podem ser observados. No entanto, no inicio da infecção, a radiografia é normal.
A ressonância magnética é sem dúvida o melhor exame de imagem disponível. Ela tem uma sensibilidade de 96% e uma sensitividade de 93% para infecções piogênicas. Mesmo assim, no período pós operatório recente, é muito difícil diferenciar alterações infecciosas das alterações decorrentes do procedimento cirúrgico. A utilização de gadolíneo como meio de contraste auxilia na diferenciação dessas alterações. Alguns aspectos podem ser citados como característicos de infecções pós operatórias: áreas confluentes no corpo vertebral e espaço discal, hipointensas em T1 e hiperintensas em T2. Perda de distinção precisa entre os tecidos das vértebras e espaço discal adjacente e disco de aparência anormal.
Bacteriologia
O S. aureus é identificado na literatura como a bactéria mais freqüentemente isolada. Recentemente a porcentagem de bactéria resistentes a meticilina vem crescendo muito. Outros estudos demonstram o crescimento das infecções causadas por gram negativos. Isso devido ao uso sistemático de cafalosporinas como antibióticos profiláticos.
O local da cirurgia também influencia no agente infectante. Pacientes submetidos a cirurgias que envolvem o sacro e possuem incontinência vesical ou intestinal, tem maior chance de ter um gram negativo como responsável pela sua infecção.
Tratamento
O tratamento bem sucedido de uma infecção pós operatória depende de uma intervenção agressiva e de um diagnóstico precoce. Um alto índice de suspeita é imprescindível e sintomas como aumento de dor não devem ser menosprezados. Conseqüências catastróficas podem ocorrer em caso de retardo de diagnóstico ou da intervenção terapêutica.
Antibióticos endovenosos de largo espectro devem ser instituídos tão logo seja feito o diagnóstico e devem ser mantidos por um período mínimo de 2 semanas, podendo então ser substituídos por antibióticos de administração oral conforme cada caso.
O tratamento cirúrgico da ferida é fundamental para boa evolução do quadro. A ferida deve ser aberta em etapas, de fora para dentro e todo tecido necrótico e desvitalizado deve ser removido. As bordas da ferida devem ser ressecadas e a limpeza mecânica é de suma importância. Aspirado da secreção e fragmentos representativos das partes moles devem ser enviados para cultura. A abertura da fáscia deve ocorrer apenas quando a região superior a ela estiver completamente limpa. Isso pode prevenir a contaminação das lojas profundas em caso de infecções restritas aos compartimentos superficiais. Apesar de alguns autores não recomendarem a abertura da fascia nos casos em que ela estiver cicatrizada e sem aspectos infecciosos profundamente a ela, achamos que sua abertura e exploração são de vital importância. Podemos ter infecções sub-clínicas e a inspeção das lojas profundas é a melhor forma de excluir uma infecção nesse local e conseqüentemente de tratá-la.
O desbridamento radical da loja profunda e irrigação abundante com soro fisiológico removem grande quantidade de bactéria e de tecido necrótico. Com isso o organismo tem melhores condições de lutar contra uma infecção. Materiais como fragmentos de osso soltos, partes moles desvitalizadas, gelfoam, enxertos sintéticos e outros materiais que não são essenciais devem ser removidos. Fragmentos de enxerto de osso que estão soltos ou envoltos em pus também devem ser removidos, enquanto os fragmentos que estiverem fixos e limpos devem ser mantidos. Não há necessidade de remoção de todo o enxerto.
Ao final da limpeza cirúrgica deve-se realizar fechamento primário da ferida e utilização de drenos. Deixar a ferida aberta pode causar super infecção, perda protéica e retração da ferida com posterior dificuldade técnica para o seu fechamento31.
Em casos selecionados pode-se utilizar curativo a vácuo e fechamento da ferida em um segundo tempo.
Os pacientes devem ser avaliados diariamente com muito cuidado e em caso de persistência de sinais infecciosos após a primeira limpeza cirúrgica, uma nova limpeza cirúrgica deverá ser realizada. O mesmo procedimento de remoção do tecido necrótico e irrigação local é repetido e a cada procedimento cirúrgico novas culturas devem ser obtidas.
O resultados das culturas permite direcionar a antibioticoterapia para um determinado patógeno e os antibióticos de largo espectro são trocados por antibióticos específicos e apropriados. A cada nova cultura e antibiograma o esquema de antibióticoterapia é analisado. Em caso de novas bactérias ou mudança no perfil de resistência a antibioticoterapia deve ser ajustada.
A utilização de implantes metálicos proporciona um local de menor resistência as infecções. No entanto sua função de proporcionar estabilidade é fundamental. Dessa forma os implantes não devem ser removidos a não ser que estejam soltos. No caso de soltura do material, este perde a função além de dificultar o combate a infecção e deve ser removido. A presença dos implantes adequadamente fixos ao osso não impede a resolução do quadro infeccioso.
A ferida deve ser fechada primariamente, no entanto, em alguns casos, isso pode não ser possível. Nesses casos a utilização de retalhos para cobertura tem mostrado bons resultados. Os retalhos permitem a cobertura da feriada e dos implantes, se houverem, melhoram a oxigenação e fornecem antibióticos através de uma circulação adequada.
Considerações especiais
Meningite
A ocorrência de meningite após uma infecção pós-operatória é um evento muito raro com uma incidência de 0,18%. O tratamento consiste na utilização de antibióticos adequados.
Abcesso epidural.
Os abcessos epidurais constituem uma emergência cirúrgica. Devido a espaço restrito do canal e ao efeito de massa dos abcessos, eles podem comprimir as estruturas nervosas e causar déficits neurológicos de rápida progressão. O tratamento consiste em descompressão cirúrgica tão logo o diagnóstico seja feito.
Discite pós-operatória
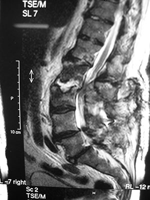
A apresentação clinica da discite pós operatória consiste em um período de melhora da dor seguido por um período de piora progressiva da dor lombar com ou sem irradiação de caráter radicular. A dor pode ser de grande proporção sem que a ferida operatória apresente qualquer sinal de infecção. A integridade neurológica esta mantida. A presença de qualquer alteração neurológica deve levantar suspeita de um abcesso epidural ou alguma outra complicação associada. Os exames laboratoriais auxiliam o diagnóstico e as provas inflamatórias como VHS e PCR estão elevadas. A RNM é o exame de imagem de escolha. Imagens hipointensas em T1 e hiperintensas em T2 são características e estão presentes 3 a 5 dias após o inicio da infecção. (figura 1)

Figura 1 - RNM de espondilodiscite pós operatória
O tratamento consiste em repouso e antibioticoterapia. Não há necessidade de procedimentos cirúrgicos a não ser que exista outra complicação associada, como um abcesso epidural.
Sumário
Infecções pós operatórias consistem em um risco inevitável em qualquer procedimento cirúrgico e suas conseqüências jamais devem ser subestimadas. A morbidade e os gastos econômicos podem ser altíssimos. O empenho da equipe médica e dos hospitais deve ser máximo para prevenir essa terrível complicação e quando ela ocorrer o diagnóstico deve ser precoce e o tratamento agressivo.

